C'est quoi la fibre zen ?
Les orthodontistes qui travaillent avec nous ont baptisé notre procédure la fibre zen.
La fibre zen est une procédure associant des fibres pré imprégnées et un composite de stratification de haute densité pour réaliser une stabilisation mécaniquement adaptée aux contraintes en présence.
La pose de fibre zen ne nécessite aucun sacrifice de tissu dentaire, a une durée de vie de plus de dix ans avec une usure contraignante et est modifiable à souhait. Par-dessus tout, elle est esthétique et participe à l’entrée dans la vie sociale de jeune adulte, comme elle permet l’harmonisation du sourire des plus grands.
Notre philosophie : Préserver !
Nous ne mutilons pas la dent. Ni vis, ni clous ne sont à la base de fibre zen, la fibre est simplement collée sur l’arcade dentaire.
La fibre a une certaine souplesse qui permet les micro mouvements de chaque dents. Sur 6 500 contentions posées depuis 2008, nous avons eu à deposer une dizaine de fibres pour diverses raisons.
Nous parions sur la pérénnité. Nous avons choisis d’utiliser la fibre préimprégnée car elle est résistante aux contraintes occlusales. La fibre de verre pré-imprégnée du Pr. Pekka Vallitu donne aujourd’hui toute satisfaction sur 10 ans révolus.
Nous faisons tout cela pour le bien-être du patient (et le nôtre). Nous utilisons la fibre de verre comme support, et des composites pour faire ou harmoniser un sourire. Les composites de stratifications du Dr. Lorenzo Vanini ont le même indice de refraction que l’émail dentaire. C’est à dire qu’il n’y a pas de difference visible entre une dent veritable et celle restaurée avec ce composite.
En une seule séance...
« La pose de contention doit intervenir juste après la dépose de l’appareillage orthodontique, c’est une obligation ».
Dr Florence Roussari et Dr Christine Muller, 1996.
La demande est venue de deux amies orthodontistes désirant une attelle qui préserve au mieux l’intégrité des dents en remplissant son rôle durant de longues années.
Cette contrainte est la première à diriger nos efforts pour optimiser le moindre geste opératoire. Les protocoles du Cabinet Zen résultent de plus de 10 ans de minutie, d’expérimentations et d’essais-erreurs.
Aujourd’hui, les temps opératoires sont de 1h30 pour une contention simple et jusqu’à quatre heures pour une contention avec une ou deux adjonctions.
Nos cas cliniques
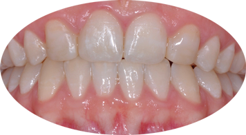
Certaines usures de l’émail peuvent être dues à la malposition des dents avant le traitement orthodontique. Une fois l’alignement réalisé, lors de la pose de la contention, nous réalisons des ajouts de composites polis et lustrés pour harmoniser le sourire. Aucune taille de l’émail n’est nécessaire pour réaliser ce travail, qui sera fait dans une seule et même séance au fauteuil.
Prise en charge d’un patient
À l'attention des praticiens : pour faciliter la prise en charge de vos patients par le Cabinet Zen, merci de renseigner cette fiche de correspondance
Votre patient sera reçu en consultation pendant 1h (coût d’une consultation prise en charge par la sécurité sociale).
Cette séance permet d’évaluer la faisabilité de la contention et le temps nécessaire à sa réalisation. Le déroulement de la séance au complet est présenté au patient ainsi que le traitement associé aux cas particuliers esthétiques (microdontie, triangles noirs, agénésie).
À l’issue de celle-ci, votre patient aura les informations concernant le devis, le protocole de pose et le suivi. Pour cette première visite, nous vous demandons de bien vouloir nous transmettre toutes les informations concernant votre demande, les demandes du patient et la disponibilité du TO75 ou TO50 ou traitement adulte.
Nous procédons nous-mêmes à la dépose de l’appareillage orthodontique, à la dépose de la colle et au nettoyage des dents. À la fin de la séance, votre patient sera informé sur l’entretien de sa contention.
Après concertation avec nos référents orthodontistes, nous avons décidé d’accompagner l’équilibre statique et dynamique post orthodontique durant les 2 années qui suivent la pose de la contention. Ces 2 années dans la plupart des cas suffisent à obtenir une stabilisation orthodontique. Quelque soit le nombre de visites, elles ne seront pas soumises à honoraires.
Pour une contention simple sur 6 dents, les honoraires sont de 810€. Des frais supplémentaires s’ajoutent pour les restaurations esthétiques, soins de caries ou adjonction d’une dent.
Paiement en plusieurs échéances possibles
Selarl cabinet dentaire MOATTY
RCS 535 334 585
RPPS 10000102441
Nous sommes là pour vous guider à chaque étape
Le jour ou nous allons vous recevoir pour poser votre contention fibrée, voici ce qui va se passer…


